眼科疾患全般
OPHTHALMOLOGY

身近な目のトラブルに
幅広く診療しています
結膜炎、ものもらい、眼精疲労、ドライアイ、コンタクトレンズ処方など、
日常的にみられる目の症状に幅広く対応しています。
目の違和感や見え方の変化など、気になることがあればお気軽にご相談ください。
当院で可能な検査
- 視力
- 眼圧
- 角膜屈折値
- 眼鏡度数測定
- 角膜形状解析
- 角膜厚検査
- 眼軸長検査
- 眼位検査
- 斜視角測定
- 立体視
- 眼底写真
- 光干渉断層計(OCT)
- 眼底検査
- 前眼部検査
- 視野検査(ハンフリー自動視野計)
- 色覚検査
結膜炎
充血、めやに、痛い、ごろごろする、かゆい、涙が出る、眩しいなど、さまざまな症状が出ます。
主にアレルギーや感染などが原因となることが多いです。
アレルギー性結膜炎
花粉症、コンタクトレンズ、アトピー性皮膚炎など
感染性結膜炎
細菌、ウイルスなど
結膜炎の中には非常に感染力の高いアデノウイルスによるものがありますので、充血が強い場合には受診をお勧めします。
アデノウイルスによる結膜炎は非常に感染力が高いため、手洗い、目を触らないなど接触感染対策が大事です。
なかなか治らない結膜炎の中には涙の通り道(涙道)が詰まって起こる涙囊炎が起こっていることがあります。
涙道の治療には専門病院へ紹介致します。
麦粒腫・霰粒腫
「ものもらい」「めばちこ」「めいぼ」などと地域により呼び方はさまざまです。
まぶたが腫れて充血やメヤニ、痛みなどの症状がでます。
どちらも症状は似ていますが麦粒腫は感染症、霰粒腫は炎症が主な原因の別の病気です。
治療法や治療するまでの期間が違います。
マイボーム腺梗塞

詰まっていた脂を摘出
マイボーム腺とは、まぶたの周りにある脂の腺です。
涙の中に油脂が混じることで涙の蒸発を防いで眼の渇きをやわらげる役割があります。
目の腫れで受診される方の中にはマイボーム腺梗塞が原因のことがあります。
詰まっている脂を除去すると一時的に症状はよくなりますが、再発しやすいのでホットタオルを使用して詰まりにくくすることが勧められます。
ドライアイ
目の乾燥感やゴロゴロするといった症状がでます。
パソコンやスマートフォンでの近くを見る時間が長い場合は症状が悪化しやすいです。
点眼で症状が改善しやすいので眼科受診をお勧めします。
眼精疲労
目の使い過ぎ、長時間の近くを見る作業、眼鏡があっていないなどで疲れ目の症状がでます。
特に近年はスマートフォンやパソコンの長期使用による眼精疲労が増えています。
肩こりや頭痛の原因になることもありますので、疲れ目がある場合は眼科受診をお勧めします。
健康診断・学校検診
学校検診や3歳児検診で異常を指摘された場合は早めの眼科受診をお勧めします。
健康診断後の精密検査にも対応しております。
目の症状がなくても健康診断目的の受診も承っていますのでお気軽にご相談ください。
眼鏡・コンタクトレンズ処方
このような症状はありませんか?
- 目が疲れる
- 頭痛がひどい
- 肩こりがある
- ふらつく
- 目の奥が痛い
このような症状がある場合は眼鏡やコンタクトレンズの度数が合っていない可能性があります。
しっかり度数を合わせることで症状の改善が期待できますのでご相談ください。
眼鏡・コンタクトレンズ処方について
- ソフトコンタクトレンズとハードコンタクトレンズの処方を行っております。
- 他院やご自身で購入される場合でもコンタクトレンズ検診を行っておりますのでお気軽にご相談ください。
- カラーコンタクトレンズ(Sincere®)の処方もしております。
- 斜視に対するプリズム眼鏡の処方にも対応しております。
- コンタクトレンズ院外処方箋ご相談ください。
コンタクトレンズでのトラブルが
増えています!

アレルギーの症状
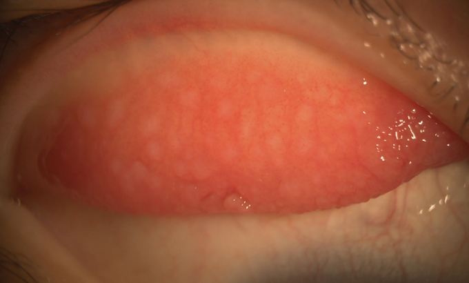
コンタクトレンズがあっていないことでまぶたの裏にぶつぶつ(乳頭)ができています。
アレルギーの症状なので、コンタクトレンズを変えることが必要です。

期限切れのコンタクトレンズの
使用による感染症
コンタクトレンズを使用期限よりも長く使用したため感染症を生じてしまっています。
感染症が起こった場合はコンタクトレンズを中止し感染症治療をします。
重症になると失明のリスクがあるので注意が必要です。
アレルギー検査

20分で結果がわかるアレルギー検査(保険適用)
当院では、アレルギーの原因をより正確に把握するために、指先からの少量採血で行える簡便な検査
「イムノキャップ ラピッド アレルゲン8」を迅速アレルギー検査を実施しています。
この検査は、アレルギーの原因となりやすい8種類の吸入系アレルゲンに対する特異的IgE抗体を、約20分という短時間で同時に測定できる迅速検査キットです。院内で結果がわかるため、当日の診察で結果説明や治療方針の相談までスムーズに進められます。
注射器を使わないのでお子様も簡単に検査できます。
検査できる8項目(吸入系アレルゲン)
- ヤケヒョウヒダニ(ハウスダストの主原因)
- ネコ皮屑
- イヌ皮屑
- シラカンバ
- ヨモギ
- カモガヤ
- ブタクサ
- スギ
花粉症、ハウスダストアレルギー、アレルギー性鼻炎・結膜炎、気管支喘息などの原因特定に役立つ検査です。
(※食物アレルギーには対応していません)

