網膜疾患の治療
RETINAL DISEASES
糖尿病網膜症
糖尿病網膜症は現在日本人の失明原因の第3位です。
進行するまで自覚症状が乏しいため早期に診断し治療するため定期的な受診が必要です。
糖尿病網膜症の出血や白斑が出てきている状態です。
出血があっても自覚症状がないことが多いので注意が必要です。
網膜静脈閉塞症
加齢、高血圧、動脈硬化などで中高年に生じやすい網膜の病気です。
目の血管に血栓が詰まり、血液が流れなくなり網膜に出血を起こします。
血管が詰まることにより血が流れていない範囲が広い場合はレーザー治療を行うことがあります。
網膜浮腫が起こっている場合は硝子体注射が効果的です。
加齢黄斑変性
加齢により起こる網膜の病気です。50歳以上の日本人の約1.3%に生じると言われています。
出血や網膜の浮腫を起こして歪みや見えにくさといった症状が出ます。
治療法は主に硝子体注射を行うことが多いですがその他手術、レーザーなどといった治療を行うことがあります。
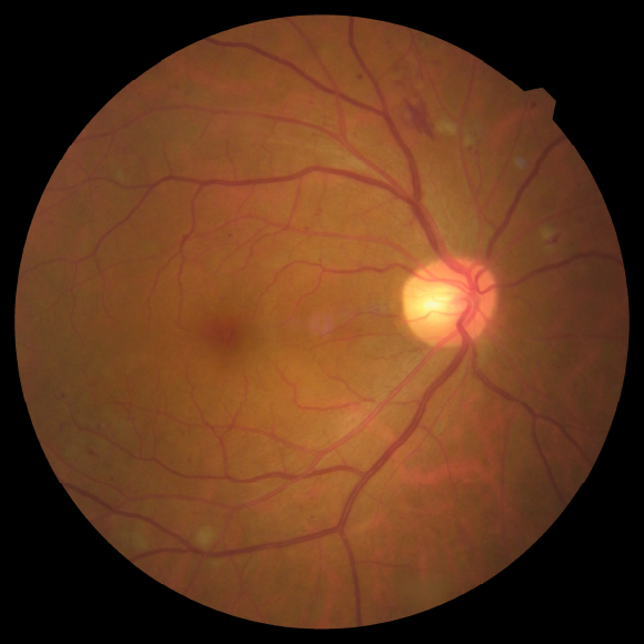
正常な網膜
加齢黄斑変性で浮腫がある網膜
網膜レーザー治療
網膜レーザー治療(網膜光凝固術)は、レーザーを用いて網膜の異常な部分やその周囲を凝固し、病状の進行や失明を予防することを目的とした治療です。主に、糖尿病網膜症、網膜静脈閉塞症、加齢黄斑変性、網膜裂孔などの治療に用いられます。
この治療は、低下した視力を元に戻すことを目的としたものではなく、病状の悪化を防ぐための治療である点をご理解ください。
糖尿病網膜症、網膜静脈閉塞症、
黄斑浮腫の治療
糖尿病網膜症や網膜静脈閉塞症では、網膜の酸素不足により新生血管と呼ばれる脆く異常な血管が発生することがあります。
レーザー治療により、網膜の血流バランスを改善し、新生血管の発生を予防したり、すでに発生した新生血管を退縮させることを目指します。また、黄斑浮腫を伴う場合には、浮腫の原因となる病変部位にレーザーを行うことで、浮腫の増悪を抑える目的で治療を行います。
- 病状により、数回に分けて治療を行う場合が
あります - 病状の進行や失明を予防する治療であり、
見え方が元に戻るとは限りません - レーザー治療後、視力は変わらない場合や、
一時的に低下することもあります
必要に応じて、硝子体注射やその他の治療を併用することがあります。
網膜裂孔・網膜剥離の予防的治療
網膜に孔(網膜裂孔)が生じると、そこから網膜剥離へ進行する可能性があります。
裂孔の周囲をレーザーで凝固することで、網膜剥離への進展や拡大を予防します。
また、網膜が薄くなり裂孔が生じやすい部分に対して、予防的にレーザー治療を行うことがあります。
網膜への牽引が強い場合や、網膜剥離が広範囲に及ぶ場合には、レーザー治療が適さないことがあります。
この場合は手術が必要となることがあります。
その他の疾患に対するレーザー治療
網膜動脈瘤や中心性網膜炎などでは、滲出液の原因となる部位を直接レーザーで凝固し、滲出の軽減を図ることがあります。
ただし、病変の位置によってはレーザー治療が適さない場合もあります。
レーザー治療後の注意点
- 治療中は軽いチクチクした痛みを感じることがあります
- 治療当日は視界がぼんやりすることがありますが、多くは翌日には改善します
- 治療の影響で、まれに網膜のむくみが生じ、視力が低下することがあります
抗VEGF硝子体注射
抗VEGF硝子体注射は加齢黄斑変性症、糖尿病性黄斑浮腫や網膜静脈閉塞に伴う網膜浮腫の軽減を目的として
硝子体空内に抗VEGF薬剤を注入します。
当院で使用中の抗VEGF剤にはアイリーア、ラニビズマブBSがあります。
どの薬剤を使用するかは医師の判断となります。
一度の注射で治療が完了する場合もありますが、基本的には繰り返し注射することにより治療を進めていきます。
点眼麻酔を行い、角膜から3〜4mmの部位から注射をします。
注射当日より、抗生剤点眼での殺菌を、7日間程度していただく必要があります。
眼帯は不要ですが、可能であれば当日は自動車の運転をお控えください。
注射の効き目を確認する必要がありますので、定期的な通院が必要となります。

